Нейронаука, Пси-новости »
Интересные,
Научные » Оптимизм и орбитофронтальная кора
В мозге обнаружена зона оптимизма
В человеческом мозге существует область, отвечающая за оптимистичное восприятие действительности.
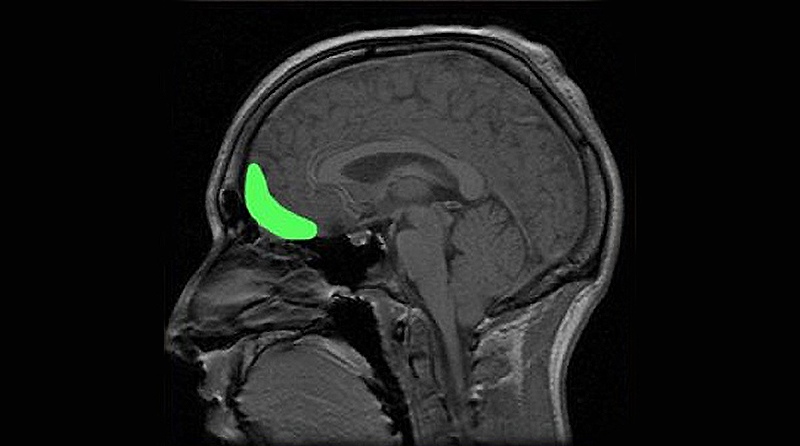
Ученые обнаружили, что за положительные мысли и мечты отвечает передний участок среднего мозга — область орбитофронтальной коры (Orbitofrontal Cortex, OFC). Орбитофронтальная кора расположена в префронтальной коре сразу за человеческими глазами. Давно известно, что она играет определенную роль в тревожных расстройствах, в эмоциональной и поведенческой регуляции путем интеграции интеллектуальной и эмоциональной информации. Размер орбитофронтальной коры, по-видимому, связан со склонностью к тревоге или к оптимизму. Область находится позади глаз и активизируется, когда люди начинают думать о хорошем будущем. У более оптимистично настроенных людей активизация проходит в более ярко выраженной форме.
Эта же часть мозга, по-видимому, функционирует со сбоями у людей, страдающих депрессией, заявили авторы исследования доктор Элизабет Фелпс (Elizabeth Phelps) из Нью-йоркского университета и Тэйли Шарот (Tali Sharot)
из Университетского Колледжа в Лондоне. Орбитофронтальная кора головного мозга
Их исследование было проведено в 2007 году. Ученые просканировали мозг у 15 испытуемых методом функционального магнитного резонанса, в то время как участники эксперимента думали о своем будущем. Когда мысли были приятны, указанная зона мозга и миндалевидное тело, ответственные за эмоциональные ответы, включая страхи и опасения, активизировались. Но самая большая корреляция с оптимизмом была отмечена в поясной извилине головного мозга.
В том же исследовании было продемонстрировано, что люди имели тенденцию связывать счастливые события с близким будущим, а плохие отдалять как можно дальше, хотя никаких разумных оснований для этого не было.
Фелпс говорит: «Психологи давно знают, что люди имеют предрасположение к оптимистическим мыслям, но новое исследование обнаружило некоторые детали». Когда исследователи просили испытуемых подумать о 80 будущих событиях, которые могли быть приятны, нейтральны или плохи, люди чаще думали о будущем с хорошей стороны.
Независимый эксперт, профессор психологии из Гарвардского университета доктор Дэн Шактер (Dan Schacter) считает, что исследование открывает новые данные о связи оптимизма с мозговой деятельностью. Фелпс добавляет: «Настрой на оптимизм необходим, потому что люди, думая о пессимистическом будущем, вряд ли станут активно туда стремиться».
 Слева направо: профессор психологии Флорин Долкос, аспирант Ифан Ху, исследователь Санда Долкос
Травматические события и хронический стресс могут уменьшить части орбитофронтальной коры. Это было доказано в исследование 2011 года, в котором сравнили размер ОФК на основе результатов визуализации мозга у молодых людей до и после землетрясения и цунами 2011 года в Японии.
Ученые, возглавляемые Ацуши Секигучи (Atsushi Sekiguchi), обнаружили, что объем серого вещества ОФК атрофировался у многих испытуемых в течение нескольких месяцев после катастрофы. Люди, которые потеряли большую часть объема ОФК в ОФК левого полушария, чаще всего имели диагноз
посттравматического стрессового расстройства (ПТСР).
В последующем исследовании 2014 года Секугучи обнаружил микроструктурные изменения белого вещества в соединении мозга у пациентов с ПТСР.
В 2015 году исследование Флорина и Санды Долкос (Florin Dolcos, Sanda Dolcos) из Университета Иллинойса, показало, что оптимизм может в конечном итоге защитить человека от беспокойства, стимулируя изменения в его орбитофронтальной
коре. Долкос и их коллеги обнаружили, что здоровые взрослые, имеющие большую орбитофронтальную кору, более оптимистичны и менее тревожны. Из чего следует, что повысить оптимизм и уменьшить тревогу можно, обучая людей задачам, затрагивающим орбитофронтальную кору, или находя способы непосредственно повысить оптимизм.
«Мы захотели пойти в противоположном направлении. Если существует сокращение орбитофронтальной коры головного мозга, связанное с тревожными расстройствами, то не означает ли это, что
увеличение размера ОФК может иметь защитную роль? Вы можете сказать: «Хорошо, существует связь между орбитофронтальной корой и тревогой. Что мне делать, чтобы уменьшить тревогу?», —
спрашивает Санда Долкос. — «И наша модель говорит, что это работает частично через оптимизм. Поэтому оптимизм является одним из факторов, на которые можно и нужно ориентироваться. Оптимизм может играть роль в отношении между размером ОФК и уровнем тревоги человека». Стакан наполовину полный или наполовину пустой? То, что вы видите, может отчасти зависеть от размера вашей орбитофронтальной коры. Исследования также показывают, что оптимистичные люди, как правило, менее тревожны.
Ученые захотели доказать свою гипотезу о том, что оптимизм связан с увеличением объема серого вещества в регионах ОФК. Больший размер ОФК может быть частью цикла обратной связи, который буферизует беспокойство, повышая оптимизм.
Для этого исследования команда сделала МРТ у 61 здоровых молодых людей и проанализировала структуру областей в их мозге, включая ОФК. Затем рассчитали объем серого вещества в каждой области мозга относительно общего объема мозга. Наконец, участники исследования прошли тесты, в которых оценивался их оптимизм и тревожность, симптомы депрессии, а также положительный (восторженный, заинтересованный) и отрицательный (раздражительный, расстроенный) аффект.
Анализ результатов показал, что более толстая орбитофронтальная кора на левой стороне мозга соответствовала более высокому оптимизму и меньшему беспокойству. Результаты также свидетельствуют о том, что оптимизм сыграл посредническую роль в снижении уровня тревоги у людей с более крупными ОФК.
Анализ показал, что никакие другие структуры мозга, по-видимому, не участвуют в уменьшении тревоги, повышая оптимизм.
Исследователи полагают, что если вы сможете научить кого-то более позитивно реагировать на стрессовые события и сохранять оптимизм на мгновение, то со временем эти объяснительные модели станут частью его
мозговой структуры. По материалам интернет-смиСм. также:
- Нейромодуляция орбитофронтальной коры снижает веру в бога
- Плохие воспоминания зависят от объема префронтальной коры
Предложить интересную новость, объявление, пресс-релиз для публикации »»»
|