Психологическое здоровье в эпоху COVID-19 и как его сохранить
Пандемия COVID-19 влияет не только на физическое, но и на психическое здоровье, а также на психологическое самочувствие.

Влияние коронавируса на психику
Глава Всемирной организации здравоохранения (ВОЗ) Тедрос Адханом Гебрейесус отмечает, что пандемия COVID-19 повлияла на психическое здоровье миллионов людей. При этом она значительно снизила число (и так относительно небольшое) людей в мире, которые имеют возможность пользоваться качественными услугами психологической и психиатрической помощи. И данная ситуация, как ожидается, будет только усугубляться [1].
Так, ученые-психиатры установили, что коронавирусные инфекции сопровождают психические нарушения различной степени тяжести. В группу риска входят люди, которые имели психические проблемы в прошлом, а также лица пожилого возраста [2].
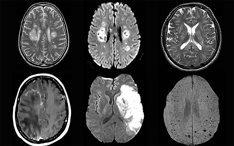
Коронавирус может поражать нервную систему и головной мозг, влиять на психоэмоциональное состояние. Данные свидетельствуют о том, что после заражения COVID-19 у некоторых людей наблюдается стойкая хроническая усталость и другие психоневрологические проблемы [3].
Нервно-психические расстройства могут возникать либо в результате прямого воздействия инфекции на ЦНС, либо косвенно: через иммунный ответ организма или медикаментозную терапию.
В частности, неврологические осложнения COVID-19 могут включать делирий (спутанность сознания), воспаление мозговых тканей, инсульт и повреждение нервов, — установлено в исследовании 2020 года [4].
Причем у зараженных коронавирусом может не быть серьезных респираторных симптомов (простуда, кашель и т.п.), а неврологическое расстройство является первым и основным проявлением COVID-19.
Также исследователи выявили редкое и иногда смертельное заболевание, известное как ADEM (Acute disseminated encephalomyelitis — острый диссеминированный энцефаломиелит, характеризующийся внезапным развитием воспаления в головном и спинном мозге), распространенность которого, по всей видимости, растет из-за пандемии.
«Мы должны проявлять бдительность и следить за этими осложнениями у людей, перенесших COVID-19. Неизвестно, увидим ли мы эпидемию крупномасштабного повреждения мозга, связанную с пандемией коронавируса — подобную вспышке летаргического энцефалита в 1920-х и 1930-х годах после пандемии гриппа 1918 года», — предупреждают ученые.

Заболевшие COVID-19 должны знать о возможности появления у них депрессии, беспокойства, раздражительности, утомляемости, бессонницы, посттравматического стрессового расстройства и более редких психоневрологических синдромов в долгосрочной перспективе. Поэтому во многих странах работа с психологом после коронавирусной болезни входит в протоколы лечения и восстановления.
Когда нынешняя пандемия подойдет к концу, а это рано или поздно произойдет, многие люди переживут всевозможные стрессы и потери, включая смерть друзей и близких, потерю работы, банкротство бизнеса, просроченные кредиты и права выкупа закладных на дома. У некоторых разрушатся браки и другие отношения из-за стресса самоизоляции и растущих финансовых трудностей. Ученые прогнозируют, что в результате текущей пандемии примерно у 10% людей разовьются серьезные психологические проблемы, такие как расстройства настроения, тревожные расстройства или посттравматическое стрессовое расстройство (ПТСР) [5]. Люди, находящиеся на карантине в течение длительных периодов времени в тесноте, в одной комнате с несколькими жильцами или в агрессивных или принудительных отношениях, не имея возможности покинуть дом, могут быть особенно уязвимы к развитию симптомов посттравматического стрессового расстройства.
Исследования также показали, что во время текущей пандемии у некоторых людей развился синдром стресса COVID, характеризующийся страхом заражения, боязнью прикоснуться к поверхностям или предметам, которые могут быть заражены, ксенофобией (страхом, что иностранцы могут быть инфицированы вирусом), а также симптомы травматического стресса, связанные с COVID (например, навязчивые мысли и кошмары).
Люди, у которых развивается синдром стресса COVID, зачастую имеют ранее существовавшую психопатологию, особенно — высокие уровни беспокойства о здоровье, обсессивно-компульсивную симптоматику и различные фобии.
Еще неизвестно, является ли синдром стресса COVID просто расстройством адаптации, которое проходит после завершения пандемии, или он станет хроническим для некоторых людей.
В результате нынешней пандемии также может наблюдаться рост хикикомори — синдрома, при которой люди становятся отшельниками, не желая покидать свои жилища. Хикикомори определяется как серьезная социальная изоляция, длящаяся 6 месяцев или дольше. Когда-то он считался синдромом, ограниченным только в Японии, но сегодня получил распространение и в других странах [6, 7].
COVID-19, вероятно, увеличит распространенность хикикомори, поскольку люди, заботящиеся о своем здоровье, уходят из зараженного коронавирусом внешнего мира в безопасные места в своих квартирах или домах. Благодаря достижениям в области технологий людям становится все легче уединяться. Еще до COVID-19 существовала тенденция к тому, что люди все чаще работали из дома, смотрели дома фильмы, а не посещали кинотеатр, совершали покупки в Интернете вместо того, чтобы ходить в магазины, а также использовали услуги доставки еды на дом вместо визитов в кафе и рестораны. Эти тенденции, вероятно, будут многократно усилены в эпоху COVID-19, когда дома все чаще становятся убежищем от зараженного патогенами внешнего мира.

В результате нынешней пандемии даже люди, не привязанные к дому, могут начать страдать фобиями, будут бояться прикасаться к «загрязненным» поверхностям, обнимать людей или пожимать руки. Бактериофобии, которые обычно являются особенностями обсессивно-компульсивного расстройства, возникают в результате сочетания генетических факторов и факторов окружающей среды [8]. Эти факторы взаимодействуют друг с другом. Другими словами, когда человек с определенным генетическим набором переживает травматический опыт, связанный с угрозой заражения, у него может развиться бактериофобия. Такие фобии обычно хронические, хотя более легкие фобии могут быть недолговечными. Но на данный момент невозможно точно сказать, сколько людей станут бактериофобами.
Могут быть и другие, относительно незаметные последствия COVID-19. Так же, как и во времена Великой депрессии 1930-х годов, некоторые люди, пережившие нынешнюю пандемию, могут стать особенно бережливыми и самодостаточными, начать накапливать резервные запасы нескоропортящихся продуктов и других товаров.
Однако ситуация не так плоха, как может показаться, читая все изложенное выше. Исследования устойчивости к потенциальным дисфункциям и психотравмам [9] позволяют предположить, что две трети людей не будут подвержены стрессам COVID-19. А некоторые из них обретут новую цель и смысл в своей жизни, помогая другим во время пандемии.
Как уберечь психическое здоровье и стабилизировать эмоциональное состояние во время пандемии?
Независимо от того, переболели вы или постоянно боитесь заразиться — вы можете переживать тревогу, страх, угнетенность, одиночество.
Как поддерживать свое психологическое здоровье во время пандемии? Как сохранить стабильное эмоциональное состояние в условиях карантина или самоизоляции? Что делать с тревогой и стрессом? Где искать положительные эмоции?
Психологи дают несколько простых, но действенных советов.
Не бойтесь говорить об этом
Замалчивание и обесценивание своих чувств — это неудачная попытка скрыть проблемы. Сознательное избегание темы пандемии — не лучший путь. Если рядом есть любимый человек, родные или друзья, которым вы доверяете, поговорите с ними о своих чувствах.

Поделитесь своими переживаниями, тревогой или страхом. Это поможет почувствовать, что вы не одиноки и вас есть кому поддержать. Или обратитесь за профессиональной психологической помощью — ее предоставляют как частные специалисты, так и психологи в бесплатных государственных службах помощи.
Не берите на себя слишком много
В зимне-весенний период мы можем чувствовать усталость и без всякого коронавируса, ведь в течение короткого светового дня организм не успевает получить достаточную дозу витамина D. Вдобавок люди, переболевшие COVID-19, отмечают сонливость, ухудшение памяти и отсутствие сил даже для привычных повседневных дел. Если вы чувствуете, что не справляетесь с привычными делами, попросите помощи у коллег, друзей, родных.
Организуйте свой день
Мы не можем контролировать мировую экономику и распространение эпидемии, но можем организовать свою повседневную жизнь. Четко определите, во сколько просыпаться, какие фильмы смотреть, как проводить вечер после работы, какие блюда готовить. Контроль над простыми бытовыми делами помогает создать атмосферу спокойствия, комфорта и стабилизирует эмоциональное состояние.
Найдите хобби, которое быстро приносит результат
Во времена, когда трудно ставить глобальные цели, найдите занятие, которое можно быстро выполнить и увидеть результат. Это может быть вышивание, изучение новых иностранных слов, нового кулинарного рецепта или произведения на музыкальном инструменте. Секрет в работе мозга: когда мы завершаем какое-то дело, он выделяет порцию дофамина — гормона удовольствия.
Больше гуляйте на природе
Регулярные прогулки на свежем воздухе помогают уравновесить эмоциональное состояние и снизить уровень тревожности. Отдых от гаджетов и контакт с природой помогают нашему мозгу восстанавливаться быстрее.
Смейтесь почаще
Позитивный настрой и способность посмеяться без особой на то причины помогают избавиться от тревожности и стать чуточку счастливее. Во время смеха наш мозг производит дофамин, серотонин и эндорфин. Эти гормоны обеспечивают нам чувство удовлетворения, радости и безопасности, помогают избавиться от стресса.
Источники:- World Mental Health Day: an opportunity to kick-start a massive scale-up in investment in mental health
- Psychiatric and neuropsychiatric presentations associated with severe coronavirus infections: a systematic review and meta-analysis with comparison to the COVID-19 pandemic
- Are we facing a crashing wave of neuropsychiatric sequelae of COVID-19? Neuropsychiatric symptoms and potential immunologic mechanisms
- Delirium, rare brain inflammation and stroke linked to COVID-19
- Life in a post-pandemic world: What to expect of anxiety-related conditions and their treatment
- A new form of social withdrawal in Japan: A review of Hikikomori
- Severe social withdrawal: Cultural variation in past hikikomori experiences of university students in Nigeria, Singapore, and the United States
- Distinct etilogical influences on obsessive-compulsive symptom dimensions: A multivariate twin study
- Trajectories of resilience and dysfunction following potential trauma: A review and statistical evaluation
11.04.2021
Предложить интересную новость, объявление, пресс-релиз для публикации »»»

