Какие мозговые структуры управляют поведением?

Способность решать проблемы, планировать действия, контролировать эмоции — эти функции управляют нашим поведением.

Исполнительные функции в мозге
Исполнительные функции — это базовые умственные способности, которые помогают нам иметь дело с окружающей средой и другими людьми. Они определяют человеческие мысли и действия.

В социальной жизни мы должны взаимодействовать со средой и другими людьми. В этом нам помогают т.н. исполнительные функции. Они разделяются на базовые когнитивные функции (контроль внимания, когнитивное торможение, сдерживающий контроль, рабочая память и когнитивная гибкость), а также высшие исполнительные функции, (планирование и подвижный интеллект), требующие одновременного выполнения нескольких базовых функций.

В частности речь идет об избирательном внимании, а также умении сосредотачиваться на одном раздражителе, игнорируя другие во время работы. К исполнительным функциям принадлежит также рабочая память, благодаря которой мы сохраняем информацию и можем ею пользоваться.

Несмотря на многочисленные данные, до сих пор нет однозначного мнения, какие структуры мозга обеспечивают эти умения. Исследования, проведенные в Институте имени Макса Планка в Лейпциге, вероятно, выявили такую область. Это стало возможно благодаря пациентке с уникальным случаем развития синдрома лобной доли.

Некоторым это не удается. Определенным людям очень сложно сконцентрироваться, планировать свои действия и контролировать импульсы и эмоции. Они страдают от так называемого синдрома лобной доли (frontal lobe disorder), который возникает в результате черепно-мозговой травмы или инсульта.

Одна из них — 56-летняя пациентка из Лейпцига — перенесла нескольких инсультов, которые затронули важные участки в мозгу: так называемые нижние области пересечения лобной доли (англ. — IFJ — inferior frontal junction area) коры головного мозга — при этом в обоих полушариях. Из-за повреждения пациентка не могла больше проходить базовые психологические тесты. Например, она не могла спланировать обход зоопарка с учетом нескольких задач. Женщине также не удавался так называемый тест Струпа, определяющий, насколько человек способен игнорировать второстепенные импульсы, которые отвлекают его от важной задачи.

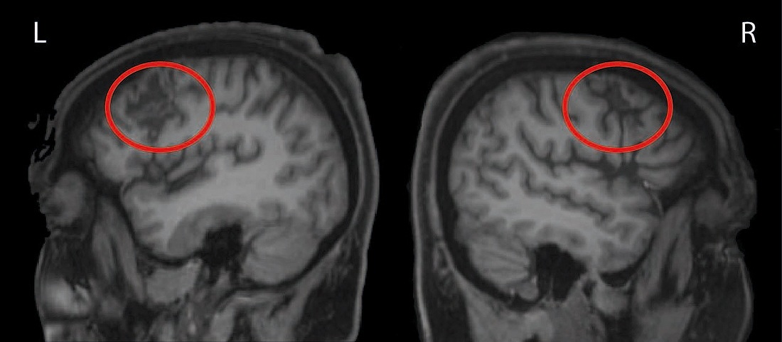
Изображение мозна на МРТ
Анатомическое изображение мозга пациента, записанное с помощью магнитно-резонансной томографии. Красные кружки указывают на поражения с обеих сторон мозга, вызванные ударами (L — левое полушарие; R — правое полушарие)

Особенность случая пациентки заключалась в том, что повреждения ограничились только нижними участками пересечения и проявлялись в обоих полушариях мозга равномерно (как на картинке). Обычно инсульт повреждает большие участки и не ограничивается описанной областью. Кроме того, он редко наносит вред участкам, гомологичным друг другу с обеих сторон. Ситуация для пациентки очень сложная, но ученым этот случай предоставил уникальную возможность проанализировать роль пострадавших участков в обеспечении исполнительных функций.

«На основании данных функциональной МРТ здоровых людей уже было известно, что нижние области пересечения активируются, когда человек использует селективное внимание, рабочую память и другие исполнительные функции. Но надежного доказательства того, что эти функции сосредоточены именно здесь, до сих пор не было», — говорит Матиас Шретер (Matthias Schroeter), руководитель исследовательской группы «Когнитивная нейропсихиатрия» в Институте Планка.

Причинно-следственное доказательство такой анатомически-функциональной корреляции можно получить, только исключив эти участки из работы мозга — тогда способности, которыми они управляют, блокируются. Именно это прозошло в клиническом случае пациентки.

Кроме классического пути — определять отдельные функции на основании повреждений мозга и соответствующих нарушений определенных участков — ученые пошли и другим путем: через «Big Data», базы данных. В них содержится информация о 10000 испытуемых, принявших участие в многочисленных психологических тестах. Здесь также указано было и то, какие участки мозга при этом активировались.

С помощью этих данных команда смогла предсказать повреждения функций пациентки только на основе тех мозговых травм, которые удалось обнаружить сканером. Ученые называют это чтением симптомов (symptom reading). Это перспективный метод. В будущем он может понадобиться для того, чтобы приспособить терапию к отдельным пациентам, не подвергая их детальному тестированию.

«Когда у пациентов сразу после несчастного случая или инсульта отключаются исполнительные функции, а чаще и другие умения, пострадавшие восстанавливаются значительно хуже, поскольку у них не работает должным образом функция планирования, — пояснил Шретер. — Если в будущем на основании снимков повреждений и баз данных можно будет подробнее узнать, какие мозговые области (и соответственно какие функции) пострадали, можно будет адаптировать терапию под конкретного человека».

Die Hirnstruktur, die unser Verhalten steuert

03.06.2020

Предложить интересную новость, объявление, пресс-релиз для публикации »»»