Биохимия настоящей любви
Исследования мозговой деятельности человека полностью подтверждают, что настоящая любовь все-таки существует и не имеет срока давности.

Работа исследователей Университета Стоуни-Брук в Нью-Йорке в 2012 году доказала: срока давности у любви не существует. С помощью магнитно-резонансной томографии специалисты провели обследование химических процессов в мозгу у молодых пар и пар, проживших вместе более 20 лет.
Оказалось, что в каждой десятой паре партнеры испытывают друг к другу те же пылкие чувства, что и в самом начале отношений, независимо от того, сколько длится их брак: и через 10, и через 20 лет ощущения любви к своему избраннику остаются неизменными.
Исследовательская группа использовала функциональную магнитно-резонансную томографию (фМРТ) для сканирования мозга 10 женщин и 7 мужчин, которые сообщили, что они все еще сильно любили своего супруга после в среднем 21 года брака. Участники просматривали изображения лица своего партнера и контрольные изображения, включая близкого друга, хорошо знакомого и малознакомого человека. В это время измерялась их активность мозга.
Затем исследователи сравнили результаты визуализации фМРТ с результатами более раннего эксперимента, в котором использовались аналогичные методы сканирования 10 женщинами и 7 мужчинами, которые безумно влюбились в течение последнего года.
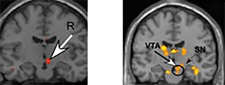
«Мы обнаружили много очень явных сходств между теми, кто был влюблен в течение долгого времени, и теми, кто только что безумно влюбился», — говорит доктор Артур Арон (Arthur Aron), автор исследования, имея в виду активность вентрального отдела (VTA), ключевой области вознаграждения и мотивации мозга, богатой дофамином. — «В этом последнем исследовании VTA показала большую реакцию на изображения давнего партнера по сравнению с изображениями близкого друга или любыми другими изображениями лица».

Рис. Функциональная магнитно-резонансная томография (фМРТ), показывающая активацию мозга людей, недавно влюбившихся (слева), по сравнению с людьми, состоящими в длительном браке и все еще влюбленными (справа). Она показывает аналогичную нейронную активность в вентральной области коры (VTA) мозга. Люди, состоящие в браке в течение длительного времени, также демонстрируют значительную нейронную активацию в богатых дофамином областях вознаграждения SN в ответ на образы своего партнера.
Другими словами, у некоторых представителей пожилых пар при виде фотографий партнера в мозгу происходят точно такие же химические реакции, что и у людей, находящихся на ранних стадиях влюбленности.
И хотя в научной среде существует версия о том, что химические процессы, которые обусловливают особое состояние у влюбленных в начале отношений, начинают спадать уже через 15 месяцев, а затем и вовсе полностью исчезают в течение десяти лет, — не все, видимо, можно объяснить только химией. Настоящая любовь не исчезает.
Что же, по мнению ученых, может стать началом большой и крепкой любви?
Открытое общение. Речь не о чрезмерной откровенности: безусловно, не стоит выкладывать перед первым встречным все свои тайны. Но улыбка, непринужденность, искренность и приветливость всегда находят ответный отклик, такова человеческая природа. В норме нам требуется несколько недель или даже месяцев, чтобы хоть как-то открыться даже перед хорошо знакомыми людьми. А вот если удалось почти сразу разговорить кого-то и разговориться самой — значит, определенная искра уже есть.
Близость. Физическая близость к объекту внимания играет очень важную роль, и она работает намного эффективнее, чем флирт на расстоянии. Если на вечеринке вам кто-то понравился, просто подойдите к нему и встаньте рядом — это лучше, чем загадочно улыбаться и стрелять глазами через всю комнату.
Ответное чувство. В психологии существует понятие «резонанса» — явления, когда объект любви начинает испытывать те же чувства, что и субъект. Проще говоря, чем больше мы уверены в том, что нравимся кому-то, тем больше этот человек нравится и нам, что неминуемо ведет к эмоциональному сближению.
Общие интересы. Мы инстинктивно ищем принадлежности к какой-либо группе, в том числе к группе по интересам. При этом члены одной группы кажутся друг другу более привлекательными — во всех смыслах, — чем чужаки. Этот эволюционный механизм срабатывает и при знакомстве: мы инстинктивно ищем человека, с которым у нас много общего. Чем схожих интересов больше — тем больше шансов «притянуться» друг к другу.
Источники
- Love Can Last: SBU Imaging Study Shows Brain Activity Of Those In Love Long Term Similar To Those Newly In Love
- Neural correlates of long-term intense romantic love
Предложить интересную новость, объявление, пресс-релиз для публикации »»»

