Нейронаука, Пси-новости » Научные » Нейропластичность мозгаГемисферэктомия: когда мозг напополам
Пациенты, у которых отсутствует одно полушарие мозга, демонстрируют на удивление развитые нервные связи.В экстремальных случаях эпилепсии, когда судороги пациента неустранимы и не реагируют на другие виды лечения, врачи могут выполнить
редкую нейрохирургическую процедуру, называемую гемисферэктомией (hemispherectomy)
— удаление/отключение половины мозга. Звучит ужасно, однако, как ни удивительно, люди вполне восстанавливаются после такой операции. Многие из них излечиваются от судорог и обладают нормальными моторными, языковыми и когнитивными навыками.
Впервые гемисферэктомию применили еще в конце XIX века, и с тех пор накопилось достаточно данных о том, как чувствуют себя «безполушарные» больные. В целом на когнитивных функциях удаление полушария сказывается сравнительно слабо. Личность у человека не меняется, память не страдает, и даже чувство юмора сохраняется.
Некоторые проблемы могут возникнуть с языком и речью, но и тут все зависит от того, как и когда делали операцию. Обычно полушарие (или его крупную часть) удаляют у детей, которые страдают от очень сильной эпилепсии и которым не помогают никакие другие средства. В детстве мозг очень активно меняется, и ему, очевидно, проще приспособиться к новым условиям – то есть так перенастроить нейронные связи, чтобы скомпенсировать утрату полушария.
Но как именно перенастраиваются нейронные связи?
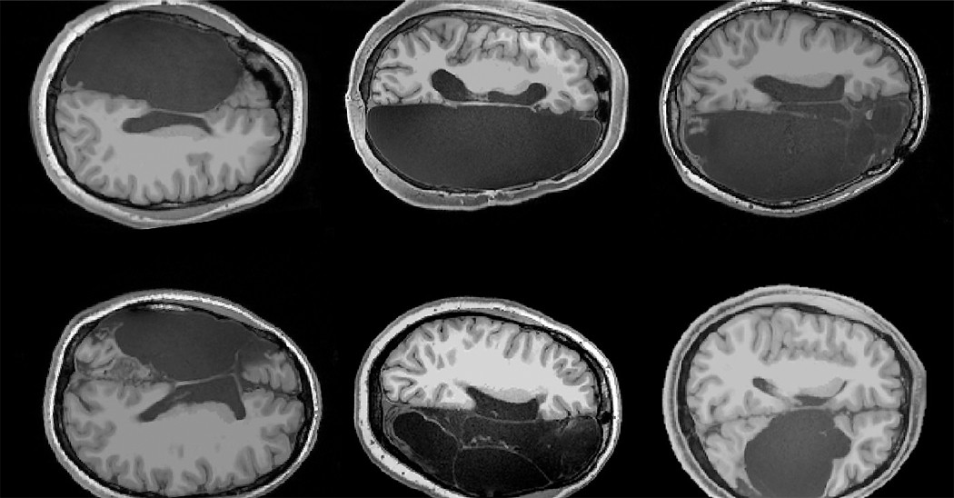
В новой статье, опубликованной в журнале Cell Report (см. Intrinsic Functional Connectivity of the Brain in Adults with a Single
Cerebral Hemisphere), нейробиологи из Калифорнийского технологического института описывают исследование шести таких редких пациентов. Они предлагают новое понимание того, как человеческий мозг адаптируется к экстремальным изменениям.
Исследовательская группа провела магнитно-резонансную томографию (МРТ) пациентов, которые перенесли операцию гемисферэктомию в детстве и теперь имеют относительно нормальные когнитивные способности. Сканирование пациентов сравнивалось со сканированием здоровых людей.
Результаты показали, что мозговые сети у пациентов с гемисферэктомией — которые контролируют ходьбу, разговор и другие функции — были на удивление целы.
«Несмотря на то, что у них отсутствует целое полушарие мозга, мы обнаружили все те же основные сети, что и в здоровом мозге с двумя полушариями», — говорит Дорит Климанн (Dorit Kliemann), ведущий автор нового доклада и доктор наук из центра визуализации мозга Caltech (Caltech Brain Imaging Center).
 Исследователи обнаружили, что у взрослых, у которых в детстве было удалено одно
полушарие головного мозга, замечательно сохранена организация функциональных мозговых сетей в оставшемся полушарии.
Исследователи выбрали для анализа не весь мозг, а лишь те районы, которые отвечают за зрение, внимание, движения тела и некоторые другие. Как пишут авторы работы, у «безполушарных» людей связи между этими центрами оказались намного сильнее, чем у людей с обоими полушариями. Например, у участков коры, которые отвечают за ходьбу, было больше каналов связи с участками коры, регулирующими речь. Сама по себе сеть соединений была такой же, как в обычном мозге, только нервные центры, входящие в эту сеть, у «безполушарных» людей общались друг с другом гораздо более плотно.
В целом, наверно, можно было ожидать чего-то подобного: будучи вынужден работать в тяжелых условиях, мозг усиливает обмен информацией внутри оставшегося полушария, так что оно начинает работать за себя и за утраченную половину. Так или иначе, пластичность мозга оказывается совершенно поразительной, даже несмотря на то, что мы узнаем о ней все больше и больше.
«Эта модель функциональной организации очень устойчива, даже когда структура мозга нетипична», — говорит Линн Пол (Lynn Paul), старший научный сотрудник и главный исследователь программы исследований гемисферэктомии в Калифорнийском технологическом институте. Например, ранее мы обнаружили, что люди, родившиеся без мозолистого тела
— моста между левой и правой сторонами мозга — развивают общую двустороннюю организацию функциональных сетей, даже если первичные структурные связи между полушариями отсутствуют. Теперь мы знаем, что эта функциональная организация также может быть сохранена в одностороннем порядке, когда нет возможности соединения между полушариями".
В настоящем исследовании измеряли активность в состоянии покоя в головном мозге. Это означает, что пациенты не выполняли какую-либо конкретную задачу во время МРТ. В будущем исследователи надеются изучить, как компенсация влияет на поведение более непосредственно. «Что происходит, когда есть определенное задание или стимул, например, прикосновение к левой или правой руке?»,
— говорит Пол. «Хотя многие из наших функций отражаются в каждом полушарии, некоторые сильно сфокусированы в одно полушарие. Как эти латерализованные функции будут реорганизованы после гемисферэктомии?»
«Например, прикосновение левой рукой обычно представлено в противоположном (правом) полушарии», — объясняет Адольф. «Но это не может работать, если у вас есть только одно полушарие, и поэтому должна быть серьезная реорганизация таких функций». Статья была опубликована на сайте Caltech в ноябре 2019 года:
Patients Missing One Brain Hemisphere Show Surprisingly Intact Neural Connections
См. также:
Предложить интересную новость, объявление, пресс-релиз для публикации »»»
|